Cuidamos de cada detalhe com tecnologia e precisão.

Transforme seu sorriso e valorize sua beleza com segurança e naturalidade.
Com as especialidades: Ortodontia e Harmonização Orofacial para resultados que elevam sua autoestima e confiança no dia a dia.

dra roberta lins
dra roberta lins

Resultados naturais são prioridade

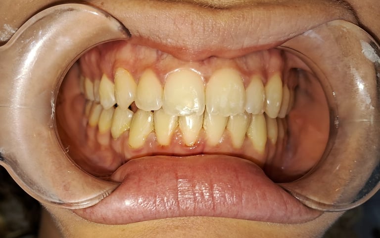
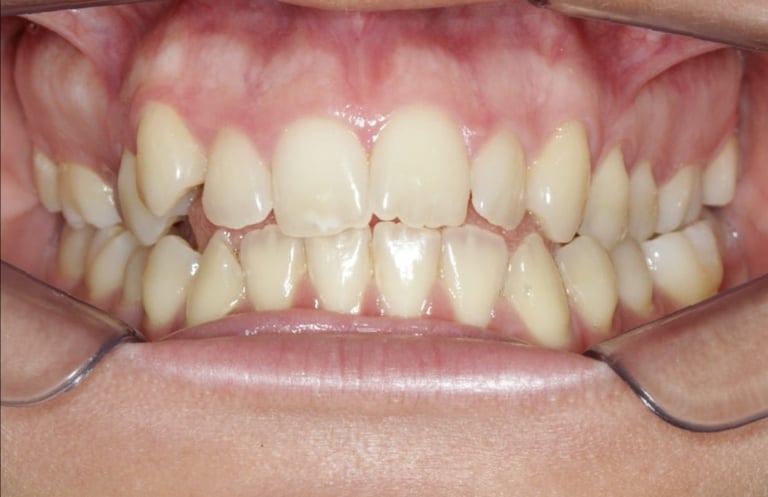
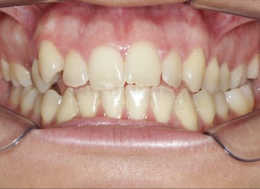
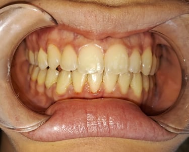
  • Ortodontia, incluindo alinhadores invisíveis
  • Aparelhos Ortopédicos Infantis
  • Harmonização Orofacial
  • Clareamento Dental

Quem é a Dra. Roberta Lins

Graduada em 2003 pela UPE e abraçou as especialidades de ORTODONTIA E ORTOPEDIA FUNCIONAL DOS MAXILARES e a especialidade de HARMONIZAÇÃO OROFACIA. Seja para corrigir imperfeições, alinhar dentes ou melhorar a estética do sorriso, você contará com um atendimento completo e focado em excelência.

dra roberta lins

Cuidando do seu sorriso e da sua autoestima com tecnologia, precisão e um atendimento totalmente personalizado.
O consultório é especializado em Ortodontia, incluindo Alinhadores Invisíveis e Harmonização Orofacial.

Planejamento individualizado e técnicas atualizadas para garantir resultados naturais, seguros e duradouros.

Excelência em ortodontia e harmonização facial

Unindo tecnologia, estética e cuidado personalizado

Procedimentos e serviços

Se você busca uma clínica de odontologia estética e harmonização facial em Recife, a Dra. Roberta Lins oferece tratamentos modernos, seguros e personalizados.

Avaliações de pacientes

Cada paciente é avaliado de forma individual, garantindo um plano de tratamento totalmente personalizado, respeitando suas necessidades, objetivos e características únicas.

Sobre a clínica

A clínica da Dra. Roberta Lins é referência em odontologia incluindo alinhadores invisíveis e harmonização orofacial, estética avançada, oferecendo tratamentos modernos, personalizados e focados na valorização da beleza natural de cada paciente. Localizada em Recife, a clínica une tecnologia, conhecimento técnico e um atendimento humanizado para proporcionar resultados seguros e de alta qualidade.

Com uma abordagem integrada, os atendimentos vão além da estética, promovendo saúde, bem-estar e autoestima. 

dra roberta lins

Mais do que tratamentos, entregamos resultados que impactam a vida dos nossos pacientes.
A satisfação de quem já passou por aqui é o nosso maior diferencial.

Alinhe seu sorriso com conforto e eficiência.
Oferecemos tratamentos modernos que vão muito além da estética, contribuindo também para sua saúde bucal e qualidade de vida.

Todos os direitos reservados – 2026 – Desenvolvido por Felipe Torres

Rolar para cima